返回

典型病例

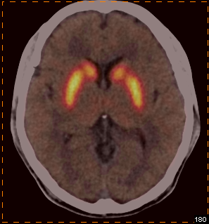
脑部多巴胺受体显像辅助诊断帕金森病

患者,男性,35岁

临床怀疑帕金森病

我科使用11C-CFT进行脑部多巴胺受体显像

PET/CT示:

双侧尾状核、双侧壳核放射性摄取对称,未见明显减低

根据PET图像,最终排除帕金森病

 电话预约

 在线咨询