返回

典型病例

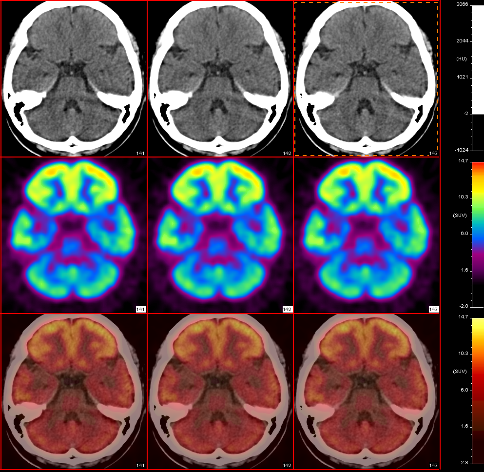
颞叶癫痫术前定位

患者,女性,22岁

自1岁起反复癫痫发作

先后服用苯妥英钠、卡马西平治疗,效果不佳

海马MRI示:双侧海马体积缩小,信号异常

拟行外科手术治疗

PET/CT示:

癫痫发作间期,右侧颞叶FDG代谢减低,考虑病灶位于右侧颞叶

 电话预约

 在线咨询