返回

典型病例

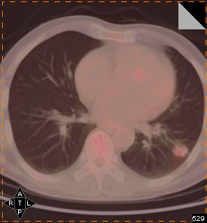
肺癌

患者,男性,65岁

间断性发热10余天。2010-09-18于当地医院行肺部CT检查:左下肺小结节影

抗炎治疗1月余,期间于2010-09-26复查胸部CT:左下肺结节影,较09-18病变有所缩小

2010-10-11复查胸部CT:左下肺结节影,较2010-09-26相仿

 电话预约

 在线咨询